THE DENTISTS LEGAL RESPONSIBILITIES TO THE PATIENT
CH. 4:

Proper Licensing is expected of the dentist and auxiliaries by their peers and their patients alike. The dentist and his/her auxiliaries are responsible for their actions and the results of those actions. They must only practice what is legally allowed, in accordance with their state and licensure. Continuing education is required for the dentist and auxiliaries to keep their licensure current and their education up to date.
Dentists are required to keep up with current changes related to their area of dentistry and use their continuing education requirements to continue and keep current their education. They must stay up on new developments in their field of practice and possess care, use their best judgment, and reasonable skills when treating their patients.
Dentists are often expected to be perfect by their patients, however the legal system understands that the best judgment and reasonable skill found in one dentist can be vastly different in another. Some dentists tend to be more reserved in their treatment, whether they are trying to save the patient money or trying to save additional tooth structure, where as another dentist wants to offer his patients only the very best options available, which often tends to raise the cost to the patient exponentially.

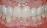
Before Porcelain Veneers After Porcelain Veneers
For instance a patient presents with decay on #8 and #9 (their two upper front teeth). The decay is large but one dentist feels it can be restored with a composite (tooth-colored) filling, which is cheaper and will save more tooth structure than any other alternatives. However another dentist feels that the best treatment would be a porcelain veneer on both teeth, which will strengthen the remaining tooth structure and the patient will have a beautiful restoration that no one, except possibly a dental professional, will be able to see. However the cost will be 3-4 times more for the veneer than the composite fillings. Both are excellent restorations and neither dentist is wrong in their recommendation. In this case it is up to the patient to choose which they feel is the best treatment for them. Often financial constraints play a large role in most patient choices, so it is fortunate for patients when they have a dentist who might present them with more than one option for treatment, one lesser expensive and one more expensive treatment.

Auxiliaries are also legally bound to possess and use standard skills, care, and judgment possessed by peers in their same community, which they are required to update each year through continuing education courses.